Daily News Alert
Enter your email below.





Hot Stories
Recent Stories

Touching Story of a Baby Boy Born With No Brain (Photos)

Posted by George on Wed 28th Oct, 2015 - tori.ng

Weird reports have emerged about the birth and life of a baby without brain which has affected the growth of the child and also potentially clouding his future.

Emma Murray and her baby, Aaron
  
Hearing a child speak for the first time is one of the landmark moments no mother forgets. But for Emma Murray, it was a moment she never thought would happen with her youngest child Aaron.
 
According to her:

“When Aaron was first born, I was told there was no way he could survive. I was told he might live for three minutes, three hours or three days. The doctors told me if it had been any of his other organs which had failed to grow, they would have been able to do something but they couldn’t grow him another brain. But right from the very beginning, Aaron proved he is a real fighter.

"The other day I was saying ‘Mummy’ to him. I was clapping my hands and he was giggling away. He looked at me, and said ‘Mummy’ back. I couldn’t believe it.

"I’d been told my son would only live for a few minutes, but now here he was saying ‘Mummy’ - something I never thought I would ever hear.”
 
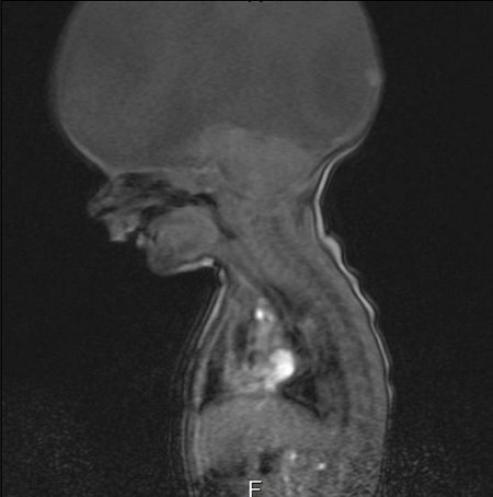
Just minutes after he arrived into the world, doctors told Emma, Aaron had a very rare health condition called holoprosencephaly, which they said left him “incompatible with life”.
 
Born with only a brain stem and not a full brain, Emma was told to invite her closest family to the hospital to meet her newborn boy before he passed away.
 
 
An X-ray of Aaron's brain

Aaron was born in March 2013 after Emma was rushed to hospital with what she thought was a burst appendix. She didn’t know she was pregnant until she was in labour. She was later transferred by ambulance to Wishaw General Hospital where staff quickly realised her unborn baby had a larger head than most infants.

As soon as he was born he was rushed to the neo-natal unit. It was then a scan revealed Aaron’s brain had not formed properly. He only had a stem and not a full brain. It was an incredibly emotional moment for mum Emma.
 
Aaron defied the predictions of the doctors and is currently two years old learning how to talk. He has difficulties standing on his own. No one really knows what the future holds for the poor boy.
 
See more photos:
 
 


Top Stories


Stories from this Category
Recent Stories